レイヤリングジルコニアセラミックの症例
2026年2月6日
こんにちは!
神保町駅A9出口より3分
新御茶ノ水駅B5出口より5分
小川町駅B7出口より6分
の神保町ガ―デン歯科です。
今回は、前歯のレイヤリングジルコニアセラミックの
症例をご紹介いたします!
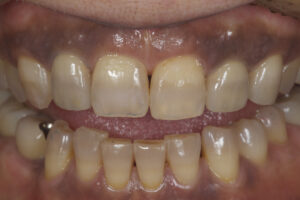
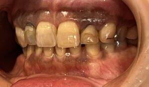
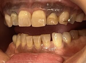
Before After

Before after

こちらの患者様は、前歯を綺麗にやり替えたいとのご希望で
今回は全体的な審美治療を行いました。
天然の歯は事前にホワイトニングを行い、全体的にトーンアップさせて、
それに合わせてカラーを決めています。
前歯のレイヤリングジルコニアは、
セラミストがチェアーサイドで色の確認、写真撮影を行い
デジタルトライインを行って作製します!

患者様にも、とても喜んでいただけました😊
こちらの患者様は、今後、歯茎の漂白も進めていく予定です🎵
レイヤリングジルコニアクラウン (税込 ¥165,000)
オフィスホワイトニング (税込 ¥35,200)
神保町で歯科検診、クリ-ニング、歯周病、虫歯治療、審美歯科、ホワイトニング、インビザラインGO等…
歯のお困りごとは、『神保町ガーデン歯科』へお気軽にご連絡ください。
Dental hygienist





