-
-
2026年1月6日
こんにちは!
神保町駅A9出口より3分
新御茶ノ水駅B5出口より5分
小川町駅B7出口より6分
の神保町ガ―デン歯科です。
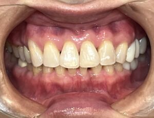
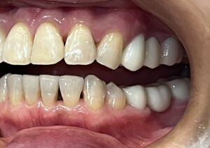
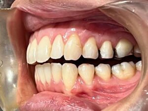
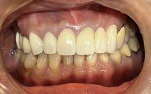
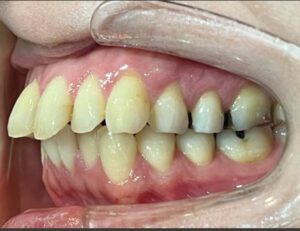
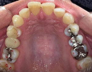
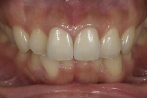
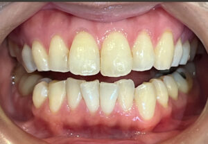
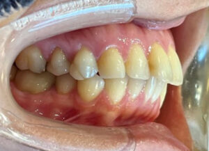
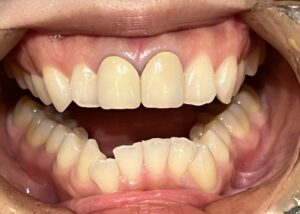
最近のマウスピース矯正(インビザラインGO)の症例をご紹介いたします。
Before after
⇒ 
⇒ 
⇒ 
⇒ 
写真を比較してみると、
前歯の捻じれや、重なりが とてもキレイに改善されましたね!
こちらの患者様は、矯正後にホワイトニングも行ったため、
歯の色もトーンアップしました☆
インビザラインGOは、
前歯のでっぱり、ねじれ、歯の重なり、隙間などの
審美的改善を目的とした歯列矯正です♪
一般的なワイヤー矯正や、全顎のInvisalignに比べて、
治療期間も短く、費用も半額以下で治療が可能です!!
ご興味のある方は、ぜひ気軽にお声掛けください☆彡
まず無料検査を行います。(要予約)
神保町で歯科検診、クリ-ニング、歯周病、虫歯治療、審美歯科、ホワイトニング、インビザラインGO等…
歯のお困りごとは、『神保町ガーデン歯科』へお気軽にご連絡ください。
dental hygieneist
2025年10月29日
こんにちは!
神保町駅A9出口より3分
新御茶ノ水駅B5出口より5分
小川町駅B7出口より6分
の神保町ガ―デン歯科です。
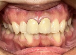
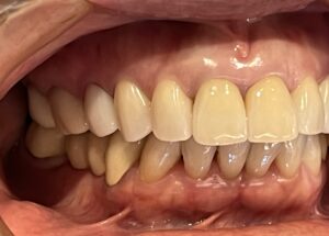
最近のマウスピース矯正(インビザラインGO)の症例をご紹介いたします。
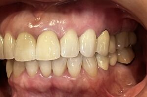
この患者さまは前歯の前突感が気になるとのことで、マウスピース矯正を開始しました!
Before after
⇒ 
⇒ 
⇒ 
⇒ 
⇒ 
写真を比較してみると、
歯の捻じれや、重なりが とてもキレイに改善されましたね✨
前歯の前突感も解消され、スマイルラインがキレイになり
患者さまもとても喜ばれていらっしゃいました(*^^*)
現在、インビザラインGO(マウスピース矯正)のディスカウントキャンペーンを実施中です!

「前歯だけでも整えたい…」そんな患者様に人気のインビザラインGO
マウスピース矯正の初めての割引キャンペーン‼
お得なこの機会にマウスピース矯正にチャレンジしてみてはいかがでしょうか☆
割引対象期間は、
2025年12月31日までに治療計画の承認、御成約の場合適応となります。
気になる方は、スタッフまでお声掛け下さい♪
まず無料検査を行います。(要予約)
※治療内容、方法に変更はありません。本来のインビザラインGO適応症の患者様が対象となります。
神保町で歯科検診、クリ-ニング、歯周病、虫歯治療、審美歯科、ホワイトニング、インビザラインGO等…
歯のお困りごとは、『神保町ガーデン歯科』へお気軽にご連絡ください。
dental hygieneist
2025年9月4日
こんにちは!
神保町駅A9出口より3分
新御茶ノ水駅B5出口より5分
小川町駅B7出口より6分
の神保町ガ―デン歯科です。
インビザラインGO(マウスピース矯正)のディスカウントキャンペーンをおこないます!

「前歯だけでも整えたい…」そんな患者様に人気のインビザラインGO
マウスピース矯正の初めての割引キャンペーン‼
お得なこの機会にマウスピース矯正にチャレンジしてみてはいかがでしょうか☆
割引対象期間は、
2025年12月31日までに治療計画の承認、御成約の場合適応となります。
気になる方は、スタッフまでお声掛け下さい♪
まず無料検査を行います。(要予約)
※治療内容、方法に変更はありません。本来のインビザラインGO適応症の患者様が対象となります。
神保町で歯科検診、クリ-ニング、歯周病、虫歯治療、審美歯科、ホワイトニング、インビザラインGO等…
歯のお困りごとは、『神保町ガーデン歯科』へお気軽にご連絡ください。
dental hygieneist
2025年8月18日
こんにちは!
神保町駅A9出口より3分
新御茶ノ水駅B5出口より5分
小川町駅B7出口より6分
の神保町ガ―デン歯科です。
メンテナンスでいつもお越しいただいている長年の患者様が、
「前歯をもう少し綺麗になおしたい」「歯茎との境が黒くなっているのが気になる」とのことで、
仕事や生活の都合上、タイミングがあったので今回審美治療をスタートすることにしました!
元々、上の前歯に入っている補綴物の状態がこちらです。

歯と歯茎の境が黒くなっているのがわかります。
まずは元々入っている補綴物を外し、仮の歯を入れていきます。
仮歯を入れた状態がこちらです。

歯科治療において、仮歯の役割はとても重要になります。
嚙み合わせの状態や、審美的な見た目など、
仮歯の段階で何かしらのエラーに気づくことができれば事前に修正することができます。
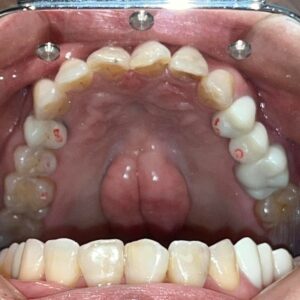
歯肉が安定してきたら、最終の補綴物を入れる前に
天然の歯にホワイトニングをかけていきました。
白くなった歯に合わせて最終の補綴物を入れていきます。
そして前歯にフルジルコニアセラミッククラウンを入れた状態がこちらです。

Before After

歯と歯茎の境もなくしっかりとフィットし、綺麗な仕上がりになりました。
笑顔もとても素敵ですね♪
患者さまにも満足していただけてこちらも嬉しく思います。
セラミックによる修復治療は当院の専門分野です。
一般的な修復治療よりも緻密な型取りと、信頼できる技工所との連携による「精密修復」をご提供します。
神保町で歯科検診、クリ-ニング、歯周病、虫歯治療、審美歯科、ホワイトニング、インビザラインGO等…
歯のお困りごとは、『神保町ガーデン歯科』へお気軽にご連絡ください。
dental hygieneist
2025年7月31日
こんにちは!
神保町駅A9出口より3分
新御茶ノ水駅B5出口より5分
小川町駅B7出口より6分
の神保町ガ―デン歯科です。

尊敬するT野先生のインプラントアドバンスコースを受講してきました!
当院でも行なっている、ショートインプラントのブラッシュアップ、
世界のトップランナーたる、T野先生に日常臨床の相談ができる良い機会となりました。
ラーニングステージは限りなし…。
神保町で歯科検診、クリ-ニング、歯周病、虫歯治療、審美歯科、ホワイトニング、インビザラインGO等…
歯のお困りごとは、『神保町ガーデン歯科』へお気軽にご連絡ください。
2025年7月9日
こんにちは!
神保町駅A9出口より3分
新御茶ノ水駅B5出口より5分
小川町駅B7出口より6分
の神保町ガ―デン歯科です。
当院では、むし歯などで失ったり、削合した部分を
セラミック、ジルコニアセラミックなどで補うことが多くあります。
むし歯治療だけでなく、銀歯からの交換、歯並びや歯の形・大きさ、変色などの症状にも適しており、
本物の歯と区別がつかないような自然な見た目とかみ心地を得ることができます。
こちらはこれから実際にセット予定の色々な種類のセラミックです。


セラミックによる修復治療は当院の専門分野です。
一般的な修復治療よりも緻密な型取りと、信頼できる技工所との連携による「精密修復」をご提供します。
セラミックの材料にもいくつか種類があり、
それぞれ特徴があるため患者様のケースにあったものをチョイスしています。
こちらが実際のセット後の写真です。

上の犬歯から犬歯までの6本の歯に審美治療を行っています。
治療のタイミングが異なるため
メタルセラミック、レイヤリングジルコニア、
ジルコニアラミネートべニア(付け爪のように薄いジルコニアを張り付ける方法)
等の材料をつかっています。
スーパーセラミスト常泉氏(ホームページ参照)が丹念に製作しております。
自然で美しい仕上がりに満足いただけています。
dental hygieneist
2025年7月7日
こんにちは!
神保町駅A9出口より3分
新御茶ノ水駅B5出口より5分
小川町駅B7出口より6分
の神保町ガ―デン歯科です。

当院では歯科衛生士がホワイトニングコーディネーターの資格を取得しています!
【ホワイトニングコーディネーターとは?】
日本歯科審美学会が認定している、
歯科衛生士のための資格です✨
近年ホワイトニングは非常に人気があり、
さまざまな情報がインターネットを中心に広まっていますが、
かならずしも正しい情報ばかりではありません。
そんな中、実際にホワイトニングを実施する歯科衛生士に、正しい知識と技術を広めるために誕生したのが
ホワイトニングコーディネーターです!
歯科審美学、とくにホワイトニングの専門的知識、
臨床技能を持っていると認定された歯科衛生士に与えられる資格です!
【オフィスホワイトニング】
《施術時間》 約1時間
《詐術日数》 2日間
《料金》 税込35,200円
【ホームホワイトニング】
マウスピース上下+ホワイトニングジェル4本付
《料金》 税込29,700円
【デュアルホワイトニング】
《料金》 税込59,400円
・歯を白くしたい!
・ホワイトニングに興味がある!
・話だけでも聞きたい!
・歯の色が気になる。
お悩みご質問ある方はお気軽に
当院の歯科衛生士にご相談ください😊🌼
dental hygieneist
2025年3月6日
こんにちは!
神保町駅A9出口より3分
新御茶ノ水駅B5出口より5分
小川町駅B7出口より6分
の神保町ガ―デン歯科です。
本日は、ジルコニアセラミック(歯科用人工ダイヤモンド)を使用した
メタルフリー治療の症例をご紹介いたします。
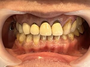
治療前は、メタルの詰め物が多数入っておりましたが、
患者様より詰め物を白くキレイにしたいとのことで治療を行いました。
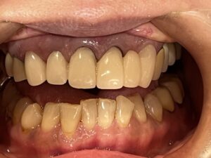
Before After



メタルフリーになり、お口の印象がとても明るくなりました!
メタルフリー治療を行うと、審美的な改善が大きいですが
それだけではありません!
詰め物、被せ物にジルコニアセラミックを使用することで
経年的な摩耗や変色を最小限に抑える、
金属アレルギーのリスクがない、
歯質との適合性が高く、むし歯の再発リスクが低いなど、様々なメリットがあります。


前歯のレイヤリングジルコニアは特に色味や形態をぴったり合わせるため、
セラミストが写真撮影、デジタルトライインを行って作成します。

笑顔がさらに素敵になりましたね✨
患者様にも、とても喜んでいただけました😊
フルジルコニアクラウン (税込 ¥110,000)
レイヤリングジルコニアクラウン (税込 ¥165,000)
オフィスホワイトニング (税込 ¥33,000)
【ジルコニアセラミックの特徴】
・治療跡が目立たない
・細菌が付きにくく、むし歯の再発リスクが低い
・長期耐久性があり、変色しない
・身体に優しいメタルフリー治療
・錆びずに腐食もせず、歯肉への色素沈着がない
神保町で歯科検診、クリ-ニング、歯周病、虫歯治療、審美歯科、ホワイトニング、インビザラインGO等…
歯のお困りごとは、『神保町ガーデン歯科』へお気軽にご連絡ください。
2025年2月19日
こんにちは!
神保町駅A9出口より3分
新御茶ノ水駅B5出口より5分
小川町駅B7出口より6分
の神保町ガ―デン歯科です。
本日は、前歯部のジルコニアセラミック(歯科用人工ダイヤモンド)
の治療症例をご紹介いたします。
Before After

こちらの患者様は、歯周治療、むし歯治療、水平埋伏の親知らず抜歯等、
全体治療を行った後、前歯の審美歯科治療を行いました。
歯の隙間が改善され、
口元の印象がとても大きく変わりました!
ホワイトニングも行い、
トーンアップした色に合わせてジルコニアセラミックを作成したため、
歯の色も全体的に明るくなりました☆彡
Before After



ジルコニアセラミックは、材料が非常に滑らかにできており、磨き残しや汚れが付着しづらい特徴があります。
強度が高く欠損しにくいことから、前歯治療、奥歯治療共に最適な素材と言えます。
ジルコニアセラミックは白く透過性があるため、見た目がとても美しくかつ自然な感じの歯の色調を再現できます。

天然歯のような自然な見た目で、
笑った時の口元もさらに素敵になりました✨
フルジルコニアクラウン (税込 ¥110,000)
レイヤリングジルコニアクラウン (税込 ¥165,000)
オフィスホワイトニング (税込 ¥33,000)
【ジルコニアセラミックの特徴】
・治療跡が目立たない
・細菌が付きにくく、むし歯の再発リスクが低い
・長期耐久性があり、変色しない
・身体に優しいメタルフリー治療
・錆びずに腐食もせず、歯肉への色素沈着がない
神保町で歯科検診、クリ-ニング、歯周病、虫歯治療、審美歯科、ホワイトニング、インビザラインGO等…
歯のお困りごとは、『神保町ガーデン歯科』へお気軽にご連絡ください。
2025年1月7日
こんにちは!
神保町駅A9出口より3分
新御茶ノ水駅B5出口より5分
小川町駅B7出口より6分
の神保町ガ―デン歯科です。
今回は、前歯のレイヤリングジルコニアセラミックの
治療をされた患者さまのご紹介です!
歯周治療、虫歯治療、審美治療の総合的な治療をおこないました。


修復の材料はほぼジルコニアセラミッククラウンで統一しています。
天然の歯は事前にホワイトニングを行い、全体的にトーンアップさせて、
それに合わせてカラーを決めています。
前歯のレイヤリングジルコニアはセラミストのデジタルトライインを行って
作製します!

全体的に綺麗になって患者さまもとても喜んでおられました♪
ジルコニアインレー (税込 ¥77,000)
フルジルコニアクラウン (税込 ¥110,000)
レイヤリングジルコニアクラウン (税込 ¥165,000)
デュアルホワイトニング (税込 ¥55,000)
治療期間 【約1年】
神保町で歯科検診、クリ-ニング、歯周病、虫歯治療、審美歯科、ホワイトニング、インビザラインGO等…
歯のお困りごとは、『神保町ガーデン歯科』へお気軽にご連絡ください。
Dental hygienist